Hệ Ngoại tổng quát

Hẹp thực quản do hóa chất

28/03/2023

Lượt xem: 2908

   Bệnh nhân TQT, nam, 35 tuổi. 6 tháng trước nhập viện, vô tình uống khoảng 40ml chất tẩy rửa bồn cầu (Vim) và được người nhà đưa vào bệnh viện địa phương sơ cứu và được bơm rửa dạ dày. Sau 15 ngày bệnh nhân bắt đầu nôn ói sau ăn, kèm sụt cân nhiều, khoảng 17kg/1 tháng. Bệnh nhân đến khám tại Bệnh viện ĐHYD Cần Thơ được chẩn đoán: Hẹp môn vị do hóa chất và được xử trí phẫu thuật nội soi cắt bán phần dưới dạ dày. Sau phẫu thuật bệnh nhân ăn uống khá hơn, giảm nôn ói, tăng cân lại 13kg.

585


  Nguyên nhân ngộ độc chất ăn mòn

    Ngộ độc chất ăn mòn xảy ra khi ăn hoặc uống các tác nhân gây ăn mòn: các axit như: hydrochloric, acetic, sulfuric, lactic, oxalic, carbolic; các chất kiềm như: natri và kali, xà bông (xà phòng), chất tẩy rửa, muối kim loại nặng, formalin, cồn iốt và nhiều chất hóa học khác.

   Axit gây hoại tử đông; vết loét đóng vảy, hạn chế tổn thương lan rộng. Axit gây tổn thương dạ dày nhiều hơn thực quản. Chất kiềm gây hoại tử lỏng; tổn thương không tạo thành vảy nên tổn thương vẫn tiếp tục lan rộng ra cho đến khi chất kiềm được trung hòa hoặc pha loãng. Chất kiềm gây tổn thương thực quản nhiều hơn dạ dày. Nhưng ngộ độc với số lượng lớn ảnh hưởng nghiêm trọng đến cả thực quản và dạ dày.

   Các hóa chất rắn chủ yếu gây tổn thương tại chỗ, ít có khả năng lan rộng vì có các hạt dính vào mô tại chỗ, khó lan ra các mô xung quanh. Chất lỏng không dính, dễ lan rộng, số lượng lớn hơn có thể dễ dàng uống vào, thường tạo ra các tổn thương lan rộng. Chất lỏng khi hít phải, có thể gây nên tổn thương đường hô hấp trên.

 Các biến chứng của ngộ độc chất ăn mòn

  Ngộ độc chất ăn mòn có thể gây nhiều biến chứng sớm và muộn.
 
   Biến chứng sớm:

  * Biến chứng tràn khí trung thất, tràn khí màng phổi, thủng thực quản dạ dày.

  * Viêm phổi.

   Biến chứng muộn: là vấn đề lớn của ngộ độc chất ăn mòn và thường gây ra khó khăn trong sinh hoạt hàng ngày của bệnh nhân:
 
  * Hẹp thực quản: khó nuốt và cảm giác đè nén phía sau xương ức là những triệu chứng phổ biến nhất cho thấy thực quản bị hẹp. Có thể xuất hiện ba tuần sau khi ăn phải chất ăn mòn, trong ba tháng đầu tiên hoặc, thậm chí sau một năm sau khi ăn chất ăn mòn. Chất ăn mòn dạng lỏng khi ăn vào gây hẹp nhiều hơn chất ăn mòn ở dạng tinh thể.

  * Hẹp môn vị: khởi phát các triệu chứng đầy bụng, buồn nôn, nôn và sụt cân cho thấy có tắc nghẽn dạ dày. Ít xảy ra hơn chứng hẹp thực quản, thường từ 5 đến 6 tuần sau khi uống, có thể xuất hiện thậm chí sau vài năm. Thường được tìm thấy nhất sau khi uống axit.

  * Ung thư thực quản và ung thư dạ dày: sự phát triển của ung thư biểu mô có thể xảy ra từ 40 đến 50 năm sau khi ăn phải chất ăn mòn. Ung thư biểu mô dạ dày là một biến chứng rất hiếm gặp sau ngộ độc chất ăn mòn.

  Sau đây là một trường hợp hẹp thực quản do uống hóa chất Vim tại Bệnh viện Trường Đại học Y Dược Cần Thơ.

  Bệnh nhân TQT, nam, 35 tuổi. 6 tháng trước nhập viện, vô tình uống khoảng 40ml chất tẩy rửa bồn cầu (Vim) và được người nhà đưa vào bệnh viện địa phương sơ cứu và được bơm rửa dạ dày. Sau 15 ngày bệnh nhân bắt đầu nôn ói sau ăn, kèm sụt cân nhiều, khoảng 17kg/1 tháng. Bệnh nhân đến khám tại Bệnh viện ĐHYD Cần Thơ được chẩn đoán: Hẹp môn vị do hóa chất và được xử trí phẫu thuật nội soi cắt bán phần dưới dạ dày. Sau phẫu thuật bệnh nhân ăn uống khá hơn, giảm nôn ói, tăng cân lại 13kg.

   Sau một thời gian, bệnh nhân bắt đầu có biểu hiện hẹp thêm thực quản: xuất hiện triệu chứng nuốt nghẹn thức ăn đặc như cơm về sau nuốt khó thức ăn lỏng như sữa… Bệnh viện ĐHYD Cần Thơ chẩn đoán hẹp thực quản do hoá chất. Bệnh nhân được điều trị bằng nội soi nong thực quản kèm cắt vòng xơ, nhưng không hiệu quả, triệu chứng nuốt khó ngày càng nặng hơn, ngay cả nước cũng không uống được. Nội soi thực quản dạ dày ghi nhận hẹp khít lòng thực quản ở đoạn cổ, máy soi không qua được.


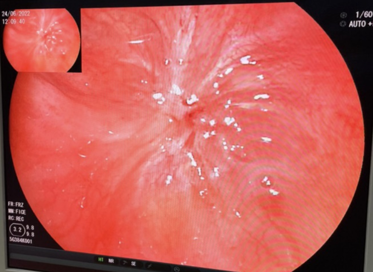
Hình 1. Hình ảnh nội soi thấy lòng thực quản hẹp khít

 Bệnh nhân được phẫu thuật nội soi tạo hình thực quản bằng đại tràng.

 Phẫu thuật nội soi kiểm tra: toàn bộ thực quản hẹp khít, xơ hóa từng đoạn từ thực quản cổ đến dạ dày. Dạ dày nhỏ do phẫu thuật cắt bán phần dưới trước đó để điều trị hẹp môn vị. Phẫu tích di động đại tràng trái, lấy đại tràng trái thay thực quản-dạ dày đã bị hẹp, nối đại tràng trái với thực quản đoạn cổ còn lại.



Hình 2. Kíp mổ nội soi tạo hình thực quản của bệnh viện

  Kết quả sau mổ diễn tiến thuận lợi. Bệnh nhân uống được nước, sữa sau mổ. Cảm giác nuốt thông tốt và đến ngày thứ 7 sau mổ, bệnh nhân bắt đầu ăn cháo, cơm… và xuất viện sau mổ 10 ngày. Phẫu thuật nội soi cắt thực quản và tạo hình thực quản bằng đại tràng có nhiều ưu điểm như ít đau sau mổ do bệnh nhân không có đường mổ dài ở ngực, bụng và cổ, và thẩm mỹ cao…


Hình 3. Nội soi kiểm tra sau mổ 4 tuần, lòng thực quản-đại tràng thông tốt


ThS BS. Nguyễn Văn Tuấn, ThS BS. Liêu Vĩnh Đạt, ThS BS. La Vĩnh Phúc

KHOA NGOẠI TỔNG HỢP




Tin tức liên quan: