Chuyên khoa Răng hàm mặt

Điều trị nhiễm sắc nướu bằng Laser Diode

20/03/2025

Lượt xem: 1540

  Nhiễm sắc nướu (Gingival pigmentation) là tình trạng nướu bị đổi màu, thường là do sự tích tụ của các sắc tố melanin (yếu tố nội sinh) hoặc các chất khác từ bên ngoài (yếu tố ngoại sinh).

1153

Giới thiệu

  Sức khỏe và thẩm mỹ răng miệng ngày nay là một trong những vấn đề được quan tâm của nhiều người. Ngoài thẩm mỹ mô cứng thì mô mềm-cụ thể là màu sắc mô nướu răng cũng là một yếu tố quan trọng.

  Nhiễm sắc nướu (Gingival pigmentation) là tình trạng nướu bị đổi màu, thường là do sự tích tụ của các sắc tố melanin (yếu tố nội sinh) hoặc các chất khác từ bên ngoài (yếu tố ngoại sinh).


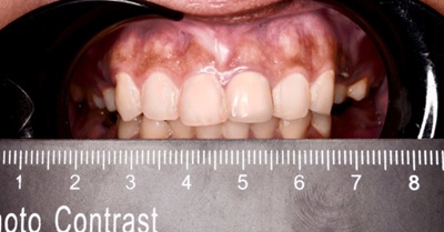
Hình 1: Hình ảnh nhiễm sắc nướu ở vùng nướu răng hàm trên
Phân loại

1. Nhiễm sắc nướu do di truyền: Do sự di truyền của các gen kiểm soát sản xuất melanin.

2. Nhiễm sắc nướu do tiếp xúc với các chất gây nhiễm: Do tiếp xúc với các chất như thuốc lá, trà, cà phê, hoặc các loại thuốc nhất định.

3. Nhiễm sắc nướu do tình trạng sức khỏe: Do các tình trạng sức khỏe như bệnh Addison, bệnh thận, hoặc các rối loạn khác.

4. Nhiễm sắc nướu do sử dụng thuốc: Do sử dụng các loại thuốc nhất định như minocycline, chlorhexidine.

5. Nhiễm sắc nướu do các nguyên nhân khác: Do các nguyên nhân khác như chấn thương, viêm nhiễm, hoặc các tình trạng khác.

Điều trị

   Nhiễm sắc nướu có thể được điều trị bằng nhiều phương pháp khác nhau. Ngày nay, điều trị nướu nhiễm sắc bằng laser diode là một phương pháp mang lại hiệu quả cao, ít đau, thời gian phục hồi ngắn

  Một số hình ảnh điều trị nướu nhiễm sắc bằng Laser diode tại Khoa Răng Hàm Mặt Bệnh viện Trường Đại học Y Dược Cần Thơ

  Điều trị nhiễm sắc nướu bằng laser diode là một phương pháp hiện đại và hiệu quả để loại bỏ các sắc tố melanin trên nướu.



Hình 2: Vùng nướu răng hàm trên sau khi được điều trị bằng Laser Diode
2A: Hình ảnh vùng nướu răng hàm trên bên phải sau chiếu Laser
2B: Hình ảnh tái khám sau 01 tuần. Ghi nhận tình trạng giảm phần nhiễm sắc ở nướu răng hàm trên


Hình 3: Tái khám sau điều trị 1 tháng. Màu sắc nướu răng được cải thiện rõ


Hình 4: Hình ảnh trước và sau điều trị
3A: Hình ảnh trước điều trị
3B: Sau điều trị 01 tháng màu sắc nướu cải thiện rõ

   Quý khách hàng có nhu cầu khám, tư vấn và điều trị các bệnh lý về Răng Hàm Mặt có thể liên hệ tại phòng khám Răng Hàm Mặt, Bệnh viện Trường Đại học Y Dược Cần Thơ. Tại đây, chúng tôi có đội ngũ bác sĩ chuyên khoa có nhiều kinh nghiệm sẽ tư vấn tận tình, giải thích cụ thể về các thắc mắc của bạn

Nguồn: Ths.Bs. Kim Ngọc Khánh Vinh - Khoa Răng Hàm Mặt



Tin tức liên quan: