1. Tổng quan kỹ thuật HoLEP:
Bóc nhân tuyến tiền liệt toàn phần bằng LASER Holmium (HoLEP - Holmium Laser Enucleation of the Prostate) là một phương pháp tiên tiến trong điều trị phì đại tuyến tiền liệt lành tính (BPH). Kỹ thuật này sử dụng laser Holmium để tách bỏ hầu hết phần mô tuyến tiền liệt gây tắc nghẽn niệu đạo, giúp cải thiện đáng kể triệu chứng tiểu khó, tiểu không hết và các biến chứng khác do BPH gây ra.
2. Lịch sử kỹ thuật HoLEP:
HoLEP lần đầu tiên được giới thiệu vào những năm 1990 bởi Tiến sĩ Peter Gilling và cộng sự tại New Zealand. Từ đó, phương pháp này đã nhanh chóng phát triển và được ứng dụng rộng rãi trên toàn thế giới nhờ những ưu điểm vượt trội so với các phương pháp truyền thống như cắt nội soi tuyến tiền liệt (TURP) hay phẫu thuật mở.
3. Chỉ định kỹ thuật HoLEP:
HoLEP được xem xét chỉ định cho các bệnh nhân mắc phì đại tuyến tiền liệt có các triệu chứng như:
• Tiểu khó, tiểu yếu, tiểu không hết, tiểu đêm nhiều lần, ảnh hưởng đến chất lượng cuộc sống.
• Bí tiểu mạn tính hoặc cấp tính tái đi tái lại nhiều lần.
• Nhiễm trùng đường tiết niệu tái phát do BPH.
• Có sỏi bàng quang thứ phát do BPH.
• Tuyến tiền liệt lớn (trên 80gr), vốn là một thách thức với phương pháp TURP thì HoLEP là sự lựa chọn an toàn và hiệu quả hơn.
4. Chống chỉ định:
• Người bệnh có rối loạn đông máu không thể kiểm soát.
• Nhiễm trùng tiết niệu cấp tính chưa được điều trị.
• Người bệnh có các bệnh lý nền nặng không thể thực hiện gây mê.
5. Ưu điểm của kỹ thuật HoLEP:
• Ít xâm lấn hơn: So với phương pháp phẫu thuật mở, HoLEP ít gây tổn thương mô, giảm nguy cơ mất máu.
• An toàn và hiệu quả với tuyến tiền liệt lớn: Đây là lựa chọn tối ưu cho bệnh nhân có tuyến tiền liệt lớn trên 100gr.
• Hồi phục nhanh chóng: Bệnh nhân có thể xuất viện sớm chỉ sau 24-48 giờ.
• Giảm nguy cơ tái phát: HoLEP giúp loại bỏ hầu hết mô tuyến tiền liệt phì đại, giảm nguy cơ tái phát so với TURP.
• Ít biến chứng: Giảm nguy cơ chảy máu, bí tiểu sau phẫu thuật.
6. Nhược điểm:
• Yêu cầu bác sĩ có kinh nghiệm cao: HoLEP là một kỹ thuật đòi hỏi trình độ chuyên môn cao và quá trình đào tạo chuyên sâu.
• Chi phí đầu tư ban đầu cao: Do sử dụng công nghệ laser hiện đại.
7. Bệnh viện Trường Đại học Y Dược Cần Thơ – điểm đến uy tín cho bệnh nhân phì đại tuyến tiền liệt.

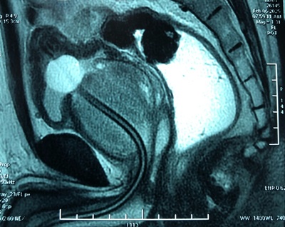
Hình: Kết quả chụp MRI của bệnh nhân với tuyến tiền liệt rất to
Mới đây, Bệnh viện Trường Đại học Y Dược Cần Thơ đã phẫu thuật thành công một ca bóc nhân tuyến tiền liệt bằng laser HoLEP với kích thước tuyến lên đến 200gr. Đây là trường hợp bệnh nhân có tuyến tiền liệt to nhất mà chúng tôi từng phẫu thuật. Nhờ sự phối hợp chuyên môn cao của đội ngũ y bác sĩ cùng trang thiết bị hiện đại, bệnh nhân đã hồi phục nhanh chóng, đi tiểu dễ dàng và xuất viện chỉ sau 48 giờ. Đây là một bước tiến quan trọng, khẳng định năng lực và sự phát triển không ngừng của bệnh viện trong lĩnh vực tiết niệu.
8. Kết luận:
Kỹ thuật HoLEP là giải pháp tối ưu cho bệnh nhân phì đại tuyến tiền liệt, đặc biệt với những trường hợp tuyến lớn. Với những ưu điểm vượt trội về độ an toàn, hiệu quả và thời gian hồi phục nhanh, HoLEP đang trở thành phương pháp điều trị tiêu chuẩn trên toàn cầu. Bệnh viện Trường Đại học Y Dược Cần Thơ tự hào là đơn vị tiên phong tại Đồng bằng sông Cửu Long trong việc ứng dụng công nghệ này, mang lại chất lượng điều trị tốt nhất cho bệnh nhân.
Nguồn: Trung Tâm Tiết Niệu – BS. Đặng Hoàng Minh.