Hệ Ngoại thần kinh

Phẫu thuật thành công u não “khổng lồ” tại Bệnh viện Trường Đại học Y Dược Cần Thơ

16/09/2020

Lượt xem: 4629

   Ngày 26/8/2020, Các bác sĩ Ngoại thần kinh của Bệnh viện Trường Đại học Y Dược Cần Thơ đã thực hiện thành công ca phẫu thuật U màng não bán cầu bên phải khổng lồ cho bệnh nhân C.T.B.N 38 tuổi quê tỉnh Sóc Trăng.

218

Ngày 26/8/2020, các bác sĩ Ngoại thần kinh của Bệnh viện Trường Đại học Y Dược Cần Thơ đã thực hiện thành công ca phẫu thuật U màng não bán cầu bên phải khổng lồ cho bệnh nhân C.T.B.N 38 tuổi quê tỉnh Sóc Trăng.

Bệnh nhân N thường xuyên bị chứng đau đầu, chóng mặt nhưng do hoàn cảnh gia đình thuộc diện khó khăn, đơn chiếc nên chỉ tự mua thuốc uống để giảm đau mà không đi khám bệnh. Đến cách lúc nhập viện vài tuần chị bắt đầu thấy đau đầu nhiều hơn, tê và yếu dần một bên người trái nên được người thân đưa vào nhập viện.

Lúc nhập viện tình trạng bệnh nhân tỉnh táo, đau đầu nhiều, sức cơ tay chân bên trái giảm. Các bác sĩ đã tiến hành chụp CT và MRI sọ não để khảo sát vị trí và kích thước u, cũng như mức độ xâm lấn mô não và xương sọ.

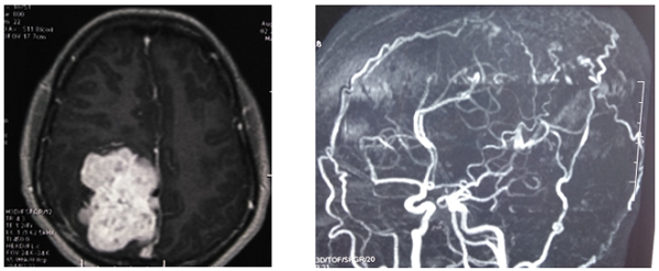
Sau khi tiến hành các bước chẩn đoán và xét nghiệm thường qui, bệnh nhân N được các bác sĩ chuyên khoa Ngoại thần kinh chẩn đoán u màng não khổng lồ bán cầu phải với kích thước  8 x 7 x 5,5 cm3, có nhiều nhánh mạch máu nuôi và xâm lấn xương sọ, nhu mô não, gây phù não và đẩy lệch đường giữa, chèn ép vùng não vận động và cảm giác.


Hình 1: Hình ảnh khối u khổng lồ và mạch máu nuôi u trên phim cộng hưởng từ sọ não

 

Bệnh nhân được hội chẩn và tiến hành phẫu thuật với ekip phẫu thuật gồm Ths.BS.CK1 Nguyễn Duy Linh, BS Trịnh Đình Thảo, BS Hà Thoại Kỳ và ekip gây mê Ths.BS. Vũ Văn Kim Long (trưởng khoa GMHS), Ths.BS. Võ Nguyên Hồng Phúc thực hiện. Sau hơn 6 giờ phẫu thuật khó khăn và thách thức, ekip đã cắt bỏ được toàn bộ khối u và xương sọ, màng não bị u xâm lấn để tránh tái phát. Đây là một phẫu thuật khó vì u nằm vị trí chức năng vận động và cảm giác, nên các phẫu thuật viên cố gắng đồng thời lấy hết u và bảo vệ phần não lành tốt nhất có thể.


Hình 2: Hình ảnh ekip phẫu thuật

 

Ths.BS. Vũ Văn Kim Long (Trưởng khoa GMHS) cho biết vì khối u giàu mạch máu nuôi, bác sĩ phẫu thuật đánh giá khả năng có thể mất nhiều máu trong mổ, nên ekip đã chủ động theo dõi huyết áp động mạch xâm lấn, áp lực tĩnh mạch trung tâm,... để có thể chủ động bù dịch nhanh khi cần thiết, nhờ vậy cuộc mổ đã diễn ra suôn sẽ và không tai biến gì.

Sau mổ bệnh nhân được hồi sức và điều trị tiếp tại khoa Ung bướu, tập vật lý trị liệu hỗ trợ. Sau mổ bệnh nhân hiện tại ổn định, đã có thể đi lại sinh hoạt bình thường. Bệnh nhân đã được xuất viện và không có biến chứng gì.


Hình 3: Hình bệnh nhân và phim chụp sọ não kiểm tra sau mổ đã lấy hết toàn bộ u

 

Ths.BS.CK1 Nguyễn Duy Linh cho biết u màng não là một bệnh lý u nguyên phát thường gặp của hệ thần kinh trung ương, tỷ lệ mắc bệnh ở nữ nhiều hơn nam, triệu chứng bệnh thường gặp là đau đầu, nôn ói, yếu liệt tay chân, động kinh,... Đôi khi u phát triển âm thầm ít triệu chứng làm người bệnh chủ quan không đi khám sớm. Khi có triệu chứng đau đầu kéo dài không đáp ứng với thuốc kèm theo yếu tay chân hoặc động kinh thì nên đi khám và chụp sọ não ngay để phát hiện bệnh điều trị kịp thời. ThS.Linh thông tin thêm Bệnh viện Trường Đại học Y Dược Cần Thơ cũng đã phẫu thuật thành công nhiều trường hợp u não khác, nhưng u khổng lồ như ở bệnh nhân này thì đây là trường hợp đầu tiên.

Ths.BS.CK1 Nguyễn Duy Linh

Trung tâm xạ phẫu bằng dao Gamma - Ngoại thần kinh

 

 




Tin tức liên quan: