Hệ Ngoại thần kinh

Hẹp động mạch cảnh - Bệnh lý nguy hiểm

31/10/2018

Lượt xem: 3198

Hẹp động mạch cảnh - Bệnh lý nguy hiểm, một số thông tin về tầm soát và điều trị hẹp động mạch cảnh

24

1. Vị trí, chức năng của động mạch cảnh:

Động mạch cảnh là một trong những động mạch quan trọng cung cấp máu cho não và vùng đầu mặt cổ. Từ trong lồng ngực, động mạch cảnh chung bên phải xuất phát từ động mạch thân cánh tay đầu, bên trái xuất phát từ quai động mạch chủ. Các động mạch cảnh chung đi lên và nằm hai bên cổ, đến đoạn giữa cổ chia thành động mạch cảnh ngoài để cấp máu nuôi vùng đầu mặt và động mạch cảnh trong tiếp tục đi lên trên chui vào trong sọ để cấp máu cho não. Do đó, hẹp động mạch cảnh có thể dẫn đến thiếu máu não hoặc nặng hơn dẫn đến nhồi máu não.

2. Nguyên nhân hẹp động mạch cảnh:

Có nhiều nguyên nhân gây hẹp động mạch cảnh gồm: xơ vữa mạch, bóc tách do chấn thương, viêm mạch máu, bẩm sinh.. nhưng nguyên nhân chủ yếu của hẹp động mạch cảnh là do xơ vữa.

3. Các biểu hiện của hẹp động mạch cảnh:

Hẹp động mạch cảnh dẫn đến thiếu cấp máu cho não và biểu hiện triệu chứng của suy giảm chức năng của các vùng não tương ứng từ nhẹ đến nặng gồm: nhức đầu, hoa mắt, chóng mặt, say xẩm, choáng váng, méo miệng, nói đớ, rối loạn ngôn ngữ, rối loạn ý thức, mất ý thức, hôn mê, yếu liệt tay chân...

4. Đối tượng dễ có nguy cơ mắc bệnh:

Do nguyên nhân chủ yếu của hẹp động mạch cảnh là xơ vữa mạch nên nhóm người thường gặp bệnh lý hẹp động mạch cảnh là người lớn tuổi (>60 tuổi), người có bệnh nội khoa như tiểu đường, tăng huyết áp... Nhóm những người mang yếu tố nguy cơ khác gồm: người hút thuốc lá, béo phì, tăng mỡ máu, ít vận động, chế độ ăn nhiều đường nhiều chất béo...

5. Chẩn đoán bệnh có dễ dàng hay không?

Chẩn đoán hẹp động mạch cảnh có thể được thực hiện được một cách đơn giản, nhanh chóng, rẻ tiền bằng siêu âm động mạch cảnh đoạn cổ. Khoảng 70% các trường hợp hẹp động mạch cảnh xảy ra ở đoạn cổ do đó hoàn toàn có thể phát hiện được bệnh lý này bằng siêu âm. Ở những trường hợp khác, nếu có nghi ngờ, bác sĩ sẽ chỉ định chụp CT scan động mạch cảnh hoặc MRI động mạch cảnh để tầm soát những chỗ hẹp bên trong sọ hoặc ở đoạn trong lồng ngực mà không thể phát hiện được bằng siêu âm.

6. Các phương pháp điều trị tình trạng hẹp động mạch cảnh tại Bệnh viện Trường Đại học Y dược Cần Thơ và hiệu quả điều trị bệnh lý này tại đơn vị?

Bên cạnh hướng dẫn bệnh nhân thay đổi lối sống và các chế độ dinh dưỡng, chế tiết, luyện tập, việc điều trị hẹp động mạch cảnh tại Bệnh viện Trường Đại học Y dược Cần Thơ được thực hiện bằng việc kết hợp điều trị nội khoa và can thiệp nội mạch.

Trong trường hợp hẹp ít hơn 70% khẩu kính, bệnh nhân sẽ được điều trị bằng thuốc và theo dõi. Mục đích là duy trì tưới máu lên não, ngăn chặn sự tiến triển của bệnh.

Nếu hẹp động mạch cảnh từ 70% khẩu kính trở lên, bệnh nhân sẽ được nong và đặt stent để tái thông làm cho lòng mạch rộng ra. 
Bệnh viện Trường Đại học Y dược Cần Thơ đã điều trị cho nhiều trường hợp hẹp động mạch cảnh mức độ nặng bằng phương pháp can thiệp nội mạch. Tất cả những bệnh nhân hẹp nặng động mạch cảnh nêu trên đều được nong, đặt stent an toàn và cho hiệu quả cao với hơn 90% bệnh nhân cải thiện triệu chứng rất tốt. 
Ngoài ra, trong trường hợp bệnh nặng dẫn đến tắc và nhồi máu não, Đơn vị cũng đã điều trị cho hơn 30 trường hợp với hiệu quả tái thông rất cao (>80%), trong đó hơn 65% bệnh nhân hồi phục triệu chứng rất tốt.

7. Vài trường hợp điển hình bị hẹp động mạch cảnh được điều trị kịp thời, hiệu quả tại Bệnh viện:

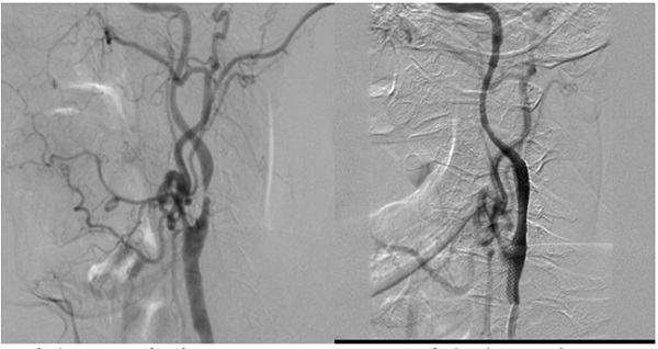
Trường hợp 1:

Bệnh nhân nam, 71 tuổi, hẹp động mạch cảnh trong trái, chóng mặt say sẩm, yếu 1/2 phải.

 
                 1a: trước đặt stent.                            Hình 1b: sau đặt stent

Sau can thiệp nong và đặt stent, các triệu chứng bệnh nhân cải thiện, bớt chóng mặt, tay chân phải mạnh hơn, đi lại bình thường.

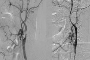
Trường hợp 2:

Bệnh nhân nữ, 68 tuổi, hẹp động mạch cảnh trong trái. Triệu chứng chóng mặt, yếu 1/2 phải, nói đớ, nhầm lẫn, có nhiều đợt mất ý thức thoáng qua.


   Hình 2a: trước can thiệp                   Hình 2b: sau can thiệp 

Sau can thiệp bệnh nhân cải thiện triệu chứng, tỉnh táo, không chóng mặt, cải thiện sức cơ, đi lại bình thường.

8. Vài khuyến cáo đến cộng đồng đối với bệnh lý này: 

Hẹp động mạch cảnh là bệnh lý nguy hiểm. Mức độ nhẹ có thể ảnh hưởng đến sinh hoạt hằng ngày, nếu hẹp nặng hoặc tắc có thể gây nhồi máu não dẫn đến tử vong hoặc để lại di chứng nặng nề, tàn phế. Do đó, ngoài việc luyện tập và lựa chọn chế độ ăn, chế tiết phù hợp, những người lớn tuổi nên có kế hoạch kiểm tra sức khỏe định kỳ, kiểm tra động mạch cảnh để phát hiện sớm bệnh lý và điều trị kịp thời.

                                                                                       TS. BS. NGUYỄN VŨ ĐẰNG

 




Tin tức liên quan: