Chuyên khoa Mắt

U nướu bẩm sinh

23/03/2022

Lượt xem: 3531

     Bệnh viện Trường Đại học Y Dược Cần Thơ có tiếp nhận sản phụ Nguyễn Thị Thanh. T 30 tuổi, thai lần 3, mang thai 39 tuần, vết mổ cũ 2 lần. Sản phụ được chỉ định mổ lấy thai vì đau vết mổ cũ, sinh 01 bé gái 3700 gam. Ghi nhận trên trẻ sơ sinh có một tổn thương đặc, chắc, bề mặt màu hồng, trơn láng, kích thước #1,5cm ghi nhận ở vùng sống hàm trên vùng răng trước.

403




Hình 1. U nướu bẩm sinh ở trẻ

 

Đây là một trường hợp u nướu bẩm sinh (congenital epulis), là u lành tính vùng miệng hiếm gặp ở trẻ sơ sinh. U nướu bẩm sinh được xem là một quá sản sau chấn thương, viêm tại chỗ hoặc là một dạng thoái triển hơn là một khối u thực sự.

U nướu thường xuất hiện ở dạng đơn độc, tổn thương đặc, sờ chắc, có cuống, với bề mặt trơn láng, màu hồng tới đỏ, ở sống hàm, ở hàm trên gấp hai lần hàm dưới, thường gặp ở vùng răng trước hàm trên. Một số ít trường hợp xuất hiện ở vùng lưỡi. 90% các trường hợp u nướu bẩm sinh gặp ở trẻ nữ. 10% những ca u nướu bẩm sinh là đa u. Đa số u có kích thước từ 0,5 đến 2cm, một số trường hợp ghi nhận kích thước lên đến 7.5 – 9 cm. Sau khi sinh, u nướu bẩm sinh sẽ ngừng phát triển, trong một số trường hợp ghi nhận u nướu giảm dần kích thước và biến mất hoàn toàn mà không cần điều trị.

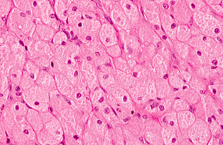
Quá trình phát sinh mô của u chưa xác định rõ, đa số nghiên cứu cho rằng u có nguồn gốc trung mô. Không có bằng chứng cho thấy u nướu phát triển sau khi sinh. U nướu bẩm sinh dưới kính hiển vi được đặc trưng bởi các tế bào lớn, hình tròn, nhiều hạt bào tương ái toan và nhiều hạt, nhân hình tròn đến oval và ưa kiềm. Trong các u già, những tế bào này sẽ dài ra và bị phân chia bởi các mô liên kết sợi. Khác biệt với u tế bào hạt, lớp biểu mô của u nướu bẩm sinh sẽ không có hiện tượng tăng sinh phản ứng của lớp biểu bì (pseudoepitheliomatous hyperplasia), thay vào đó, ghi nhận có sự teo của các nhú biểu bì. Hoá mô miễn dịch của u nướu bẩm sinh cho thấy các tế bào u âm tính với protein S-100.



Hình 2. Sự teo các nhú biểu bì của u nướu bẩm sinh




Hình 3. Hình ảnh các tế bào tròn với bào tương nhiều hạt

 Vì thế, điều trị được khuyến khích của u nướu là tiến hành theo dõi sự phát triển của u, nếu u giảm dần về kích thước và biến mất hoàn toàn thì không cần can thiệp. Trong trường hợp u có kích thước lớn, không giảm kích thước và gây ảnh hưởng đến hoạt động chức năng như bú hay hô hấp ở trẻ sơ sinh thì tiến hành tiểu phẫu cắt trọn u dưới gây tê, tiền mê hoặc gây mê. Chưa có trường hợp chuyển biến ác tính hoặc tái phát được ghi nhận.

U nướu bẩm sinh có thể phát hiện thông qua siêu âm, tuy nhiên thường khó chẩn đoán do tổn thương này hiếm gặp và phát triển rất chậm trong tam cá nguyệt thứ ba.

Chẩn đoán phân biệt u nướu bẩm sinh với các trường hợp sau đây:

- Nang nướu ở trẻ sơ sinh : nang nướu tròn, kích thước nhỏ, có màu trắng hoặc trắng kem.

- Bất thường phát triển mạch máu: bề mặt màu đỏ và thường sẽ giảm kích thước khi đè nén.

- U ngoại bì thần kinh hắc tố ở trẻ em là một tổn thương u có màu xanh hoặc đen, thường ở mào xương ổ vùng răng trước hàm trên ở trẻ, có đặc trưng là phát triển nhanh có thể gây biến dạng mặt.

- U quái vùng mặt hoặc ung thư tế bào cơ là những tổn thương hiếm gặp nhưng phát triển rất nhanh và rất xâm lấn, đặc trưng là tổn thương cứng chắc.

- U nguyên bào răng ngoại biên ở trẻ sơ sinh.

 

Tài liệu tham khảo

1. L.F.B de Paulo (2013), " Multiple congenital epulis: A case report with spontaneous regression ", International Journal of Pediatric Otorhinolaryngology Extra, 8(3), pp.99–101.

2. Neville B.W, Damm D.D., Allen C.M, Chi A.C. (2015), Oral and Maxillofacial Pathology, Elsevier, 4th edition, pp.503-504.

 

Khoa Phụ sản     




Tin tức liên quan: