TRƯỜNG HỢP MỘT ĐỘNG MẠCH VÀNH
Một động mạch vành (SCA:
single coronary artery) là bất thường bẩm sinh hiếm gặp. Chỉ có một động mạch
vành xuất phát từ một lỗ động mạch vành để cung cấp máu cho toàn bộ trái tim.
Nó thường liên quan đến các bất thường khác của tim. Một động mạch vành có biểu
hiện lâm sàng đa dạng, từ triệu chứng nhẹ không điển hình đến đột tử do tim.
CA
LÂM SÀNG
Bệnh nhân nam 55 tuổi vào
viện vì cơn đau thắt ngực không ổn định. Tiền sử: tăng huyết áp, hút thuốc lá,
đái tháo đường type 2. Khám lâm sàng ghi nhận đau ngực trái, khó thở khi nằm,
tim đều, mỏm tim LS VI đường nách trước, huyết áp 120/80mmHg, phổi ít rale ẩm
hai bên. Cận lâm sàng: điện tâm đồ ghi nhận nhịp xoang 70 lần/phút, bloc nhánh
trái; giá trị NT-proBNP= 17195 pg/ml; nồng độ Troponin T-hs= 0.048 ng/ml; giá
trị LDL-c= 1,0 mmol/L; siêu âm tim: dãn buồng thất trái, vách liên thất vận động
nghịch thường, hở 2 lá 3/4, hở 3 lá 3/4, chức năng tâm thu thất trái giảm EF=
28% (SIMPSON). Chúng tôi quyết định chụp
mạch vành cho bệnh nhân với chẩn đoán lâm sàng là Đau thắt ngực không ổn định –
Tăng huyết áp – Đái tháo đường type 2 – Suy tim độ III.
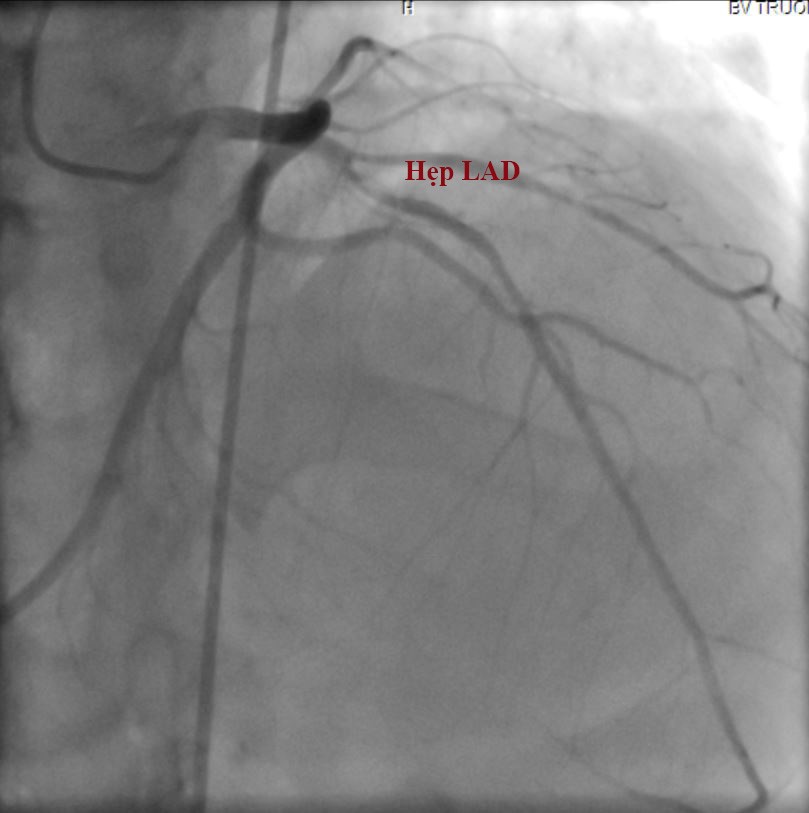
Chụp mạch vành chọn lọc cho
thấy chỉ có một động mạch vành trái xuất phát từ xoang động mạch vành trái, nó
chia thành 2 nhánh như bình thường là nhánh động mạch liên thất trước (LAD) và
nhánh động mạch mũ (LCx). Hẹp nặng 80% đoạn gần và 50% đoạn giữa của động mạch
liên thất trước (hình 1). Hình ảnh động mạch chủ không có sự hiện diện của động
mạch vành phải (RCA) từ xoang vành phải (hình 2). Phần xa của động mạch mũ có
đường kính lớn hơn bình thường và cung cấp máu cho cả vùng cơ tim vốn dĩ do động
mạch vành phải cấp máu (hình 3).
Chúng tôi báo cáo một trường
hợp hiếm chỉ có một động mạch vành đơn độc, không có RCA, và LCx cấp máu cho
vùng RCA tưới máu. SCA là một bất thường về mặt giải phẫu bẩm sinh, bất thường
này làm cho bệnh nhân chỉ có một mạch vành duy nhất xuất phát từ một xoang vành
tại gốc của động mạch chủ. Nó có tỷ lệ mắc từ 0,024 đến 1% tùy các báo cáo khác
nhau [1, 3, 4]. Các dị tật bẩm sinh cấu trúc của tim kết hợp với SCA bao gồm hẹp
valve động mạch phổi, tứ chứng Fallot và thân chung động mạch [2]. Tỷ lệ RCA xuất
phát từ động mạch vành trái từ 0,1 đến 0,9%.
Lipton và cộng sự [7] ban
đầu đề xuất phân loại mạch máu của một động mạch vành, sau đó đã được sửa đổi bởi
Yamanaka và cộng sự (Bảng 1) [4]. Sự phân loại này đề cập đến nguồn gốc của lỗ
động mạch vành từ xoang của Valsalva, giải phẫu của mạch máu và đường kính
ngang. Ký tự R hoặc L là được dùng để chỉ nguồn gốc lỗ của động mạch vành xuất
phát từ xoang Valsava phải hay trái; các số La Mã như I, II hoặc III được sử dụng
để thể hiện đường đi của các nhánh động mạch vành; và các chữ cái A, B, P, S và
C được dùng để mô tả mối liên hệ giữa động mạch vành bất thường với động mạch
phổi và động mạch chủ [4].
|

|

|
|
Hình
1. Hẹp động mạch liên thất trước
|
Hình 2. Không có lỗ động mạch vành
phải
|
|

|

|
|
Hình 3. Động mạch vành mũ cung cấp
máu
cho vùng bên phải
|
Hình 4. Đặt stent động mạch liên thất
trước
|
Hầu hết các bệnh nhân đều
không có triệu chứng tại thời điểm chẩn đoán, và những trường hợp một động mạch
vành thường phát hiện tình cờ qua chụp mạch vành. Một số bệnh nhân có biểu hiện
lâm sàng đau ngực không điển hình hoặc triệu chứng không đặc hiệu, không có bệnh
lý tắc nghẽn mạch vành và lâm sàng thiếu máu cơ tim [8]. Một số khác biểu hiện
đau ngực điển hình, đột tử nhất là khi gắng sức, ngất, hồi hộp, nhanh thất và
nhồi máu cơ tim [8]. Một số phân loại bất thường có biểu hiện lâm sàng lành
tính như RI, LI. Trong khi đó, các phân loại khác như R/LIIB hoặc RIII, thường
bệnh nhân có biến chứng lâm sàng nặng nề [9]. Sinh lý bệnh cơ bản có thể liên
quan đến sự giãn nở mạch máu làm tăng lưu lượng dòng chảy khi gắng sức, cùng sự
chèn ép của động mạch vành bất thường dọc theo đường đi của nó [9]. Mặt khác, gập
góc mạch vành cấp tính, tổn thương lỗ dạng khe, dòng chảy phần gần trong vách,
thường làm cho bệnh nhân có biểu hiện đau ngực và nguy cơ đột tử [5, 8].
|
Bảng
1. Phân loại Lipton cho bất thường một mạch vành
|
|
Từ
xoang vành phải
|
Mô
tả
|
Từ
xoang vành trái
|
|
RI
|
Một động mạch duy nhất xuất phát từ một
trong hai xoang vành trái hoặc phải, theo đường đi bình thường của động mạch
vành phải hoặc trái.
|
LI
|
|
RIIA
RIIB
RIIP
|
Được chia thành 3 loại tùy thuộc vào mối
quan hệ của mạch máu bất thường và các đại động mạch. Type A có động mạch bất
thường đi trước thân động mạch phổi. Type B đi giữa thân động mạch phổi và động
mạch chủ. Type P đi trước động mạch chủ.
|
LIIA
LIIB
LIIP
|
|
RIII
|
Động mạch liên thất trước và động mạch
mũ không xuất phát từ thân chung động mạch vành trái mà xuất phát từ xoang
vành phải.
|
|
Basso và cộng sự [10] ghi
nhận trên 27 ca đột tử do tim ở người trẻ có bất thường động mạch vành bẩm sinh
đã được phát hiện trước đó. Nó thường ghi nhận hơn ở bệnh nhân có động mạch
vành bất thường xuất phát từ xoang vành trái khi họ hoạt động gắng sức. Do
chính động mạch bất này thường bị chèn ép giữa động mạch chủ và động mạch phổi
bởi sự giãn nở của 2 mạch máu này [11, 12]. Taylor và cộng sự [5] cũng đã quan
sát và ghi nhận 242 trường hợp tử vong do bất thường một động mạch vành bẩm
sinh và 1/3 bệnh nhân đột tử trong đó 50% là khi bệnh nhân gắng sức. Bệnh nhân
trẻ hơn 30 tuổi thường đột tử nhiều hơn so với người lớn tuổi. Những bệnh nhân
trẻ cũng thường dễ đột tử khi gắng sức.
Chụp mạch vành vẫn là
tiêu chuẩn vàng để chẩn đoán và phân loại. Siêu âm tim chủ yếu giúp phân loại
các bất thường cấu trúc khác đi kèm với bất thường một động mạch vành. Chụp cắt
lớp vi tính cung cấp hình ảnh mạch vành ít xâm lấn hơn mặc dù cần phải sử dụng
thuốc cản quang.
Chụp cộng hưởng từ mạch
máu tim (CMR) là một phương pháp đánh giá hình ảnh học giải phẫu mạch vành. Lợi
ích của chụp CMR là tránh được sự tiếp xúc với tia bức xạ, không cần sử dụng
iod cũng như các chất tương phản khác, không hạn chế về thể trạng bệnh nhân,
đánh giá được nhiều thông số giải phẫu mạch máu tim, chức năng và khả năng tưới
máu, cùng với khả năng đánh giá tốt các bất thường cấu trúc về cả không gian và
thời gian [13].
Phương pháp điều trị bao
gồm điều trị bảo tồn, can thiệp mạch vành qua da (PCI) bằng cách đặt stent, và
phẫu thuật. Hầu hết bệnh nhân không có triệu chứng không cần can thiệp xâm lấn
và điều trị bằng cách kiểm soát nghiêm ngặt các yếu tố nguy cơ. Đối với những bất
thường đa dạng thì có nhiều cách tiếp cận như phẫu thuật tim qua thành ngực và
can thiệp tim có thể lựa chọn trong trường hợp bệnh nhân có triệu chứng. Biểu
hiện triệu chứng với cơn đau thắt ngực không ổn định, tương tự ca lâm sàng một
động mạch vành của chúng tôi đã mô tả. Trong khi vài bệnh nhân cải thiện với điều
trị bảo tồn thì một số khác có tắc nghẽn mạch vành thì cần phải can thiệp.
PCI trong các trường hợp
SCA, tư thế chụp chắc chắn đòi hỏi cần kỹ thuật cao. Trong các ca SCA, bất thường
về gốc xuất phát và dòng chảy dẫn đến sự khó khăn trong cài lỗ động mạch vành
cũng như khó khăn trong việc lựa chọn catheter khi PCI [14]. Nhận thấy được những
vấn đề quan trọng trong điều trị dựa trên catheter, trong một ca SCA, Rudan và
cộng sự [13] đã thực hiện thành công PCI đặt stent trong trường hợp một động mạch
vành có RCA có nguồn gốc từ mở rộng của động mạch vành trái. Kafkas và cộng sự
[15] đã báo cáo đặt stent thành công trong type L1 của SCA. Các báo cáo khác
cũng mô tả điều trị thành công với những tổn thương tương tự bằng PCI [14, 16].
KẾT
LUẬN
Chúng tôi báo cáo một trường
hợp hiếm gặp của SCA, một ca bất thường bẩm sinh hiếm gặp. Hầu hết bệnh nhân
thường không có triệu chứng, tuy nhiên, có thể có triệu chứng đau ngực điển
hình, rung thất, hoặc nhồi máu cơ tim. Các chuyên gia tim mạch nên nhận ra bệnh
lý hiếm do chúng có thể làm đột tử ở bệnh nhân trẻ. Quản lý bệnh nhân thường kết
hợp đa lĩnh vực giữa người can thiệp và phẫu thuật viên nhằm mục đích cá nhân
hóa kế hoạch điều trị cho bệnh nhân dựa trên tình trạng lâm sàng và giải phẫu mạch
vành trên mỗi bệnh nhân.
TÀI
LIỆU THAM KHẢO
1. Desmet W, Vanhaecke J, Vrolix M, Van de
Werf F, Piessens J, Willems J, De Geest H. Isolated single coronary artery: a
review of 50,000 consecutive coronary angiographies. Eur Heart J. 1992;13:1637–40.
2. Shrivastava S, Mohan J, Mukhopadhyay S,
Rajani M, Tandon R. Coronary artery anomalies in tetralogy of Fallot.
Cardiovasc Interv Radiol. 1987;10:215–8.
3. Yuksel S, Meric M, Soylu K, Gulel O,
Zengin H, Demircan S, Yilmaz O, Sahin M. The primary anomalies of coronary
artery origin and course: a coronary angiographic analysis of 16,573 patients. Exp
Clin Cardiol. 2013;18:121.
4. Yamanaka O, Hobbs RE. Coronary artery
anomalies in 126,595 patients undergoing coronary arteriography. Catheter
Cardiovasc Interv. 1990;21:28–40.
5. Taylor AJ, Rogan KM, Virmani R. Sudden
cardiac death associated with isolated congenital coronary artery anomalies. J
Am Coll Cardiol. 1992;20:640–7.
6. Kim JM, Lee OJ, Kang I, Huh J, Song J, Kim
G. A rare type of single coronary artery with right coronary artery originating
from the left circumflex artery in a child. Korean J Pediatr. 2015;58:37–40.
7. Lipton MJ, Barry WH, Obrez I, Silverman
JF, Wexler L. Isolated single coronary artery: diagnosis, angiographic classification,
and clinical significance. Radiology. 1979;130:39–47.
8. Akcay A, Tuncer C, Batyraliev T, Gokce M,
Eryonucu B, Koroglu S, Yilmaz R. Isolated single coronary artery. Circ J.
2008;72:1254–8.
9. Evrengul H, Ozcan EE, Turhan H, Ozturk A.
Single coronary artery originating from the right sinus of Valsalva and
hypoplastic left anterior descending artery: an extremely rare combination of
congenital coronary artery anomalies. Exp Clin Cardiol. 2012;17:243.
10. Basso
C, Maron BJ, Corrado D, Thiene G. Clinical profile of congenital coronary
artery anomalies with origin from the wrong aortic sinus leading to sudden
death in young competitive athletes. J Am Coll Cardiol. 2000;35:1493–501.
11. Yurtdas
M, Gu¨len O. Anomalous origin of the right coronary artery from the left
anterior descending artery: review of the literature. Cardiol J. 2012;19:122–9.
12. Hundley
WG, Bluemke DA, Finn JP, Flamm SD, Fogel MA, Friedrich MG, Ho VB, Jerosch - Herold
M, Kramer CM, Manning WJ. ACCF /ACR /AHA /NASCI /SCMR 2010 expert consensus
document on cardiovascular magnetic resonance: a report of the American College
of Cardiology Foundation Task Force on Expert Consensus Documents. J Am Coll Cardiol.
2010;55:2614–62.
13. Rudan
D, Todorovic N, Starcevic B, Raguz M, Bergovec M. Percutaneous coronary
intervention of an anomalous right coronary artery originating from the left
coronary artery. Wien Klin Wochenschr. 2010;122:508–10.
14. Calıskan
M, Ciftci O, Gullu H, Alpaslan M. Anomalous right coronary artery from the left
sinus of Valsalva presenting a challenge for percutaneous coronary
intervention. Turk Kardiyol Dern Ars. 2009;37:44–7.
15. Kafkas
N, Triantafyllou K, Babalis D. An isolated single LI type coronary artery with
severe LAD lesions treated by transradial PCI. J Invasive Cardiol. 2011;23:E216–8.
16. Pourafkari
L, Taban M, Ghaffari S. Anomalous origin of right coronary artery from distal
left circumflex artery: a case study and a review of its clinical significance.
J Cardiovasc Thorac Res. 2014;6:127.
17. Rinaldi
RG, Carballido J, Giles R, Del Toro E, Porro R. Right coronary artery with
anomalous origin and slit ostium. Ann Thorac Surg. 1994;58:828–32.
18. Izumiyama
O, Yamashita A, Sugimoto S, Baba M, Hasegawa T. Coronary artery bypass grafting
in two patients with single coronary artery. Kyobu geka Jpn J Thorac Surg.
1999;52:143–7.
KHOA TIM MẠCH CAN THIỆP – THẦN KINH